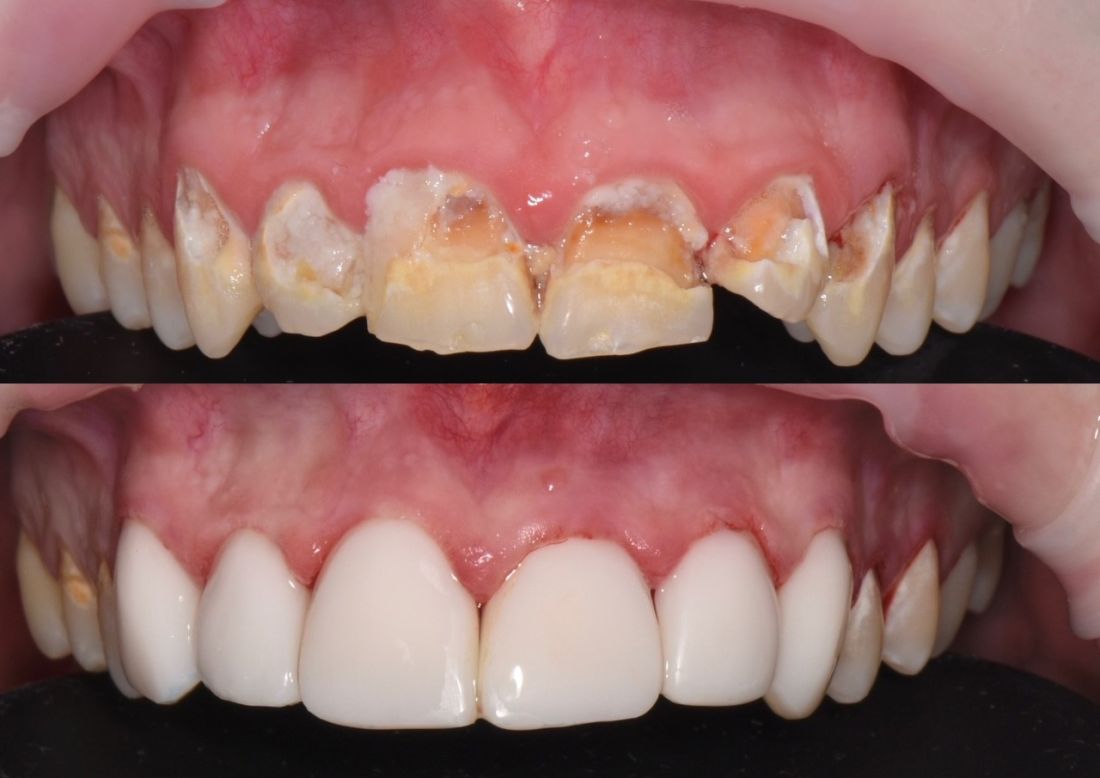
Onze narcose behandelingen
Narcodent biedt een ruim aanbod aan uiteenlopende tandartsbehandelingen. Door vaak meerdere behandelingen in één sessie te combineren, maximaliseren we de effectiviteit van de narcose. Ons doel is om jou een frisse start te bieden, waarbij we streven naar een zo optimaal mogelijk herstel van je gebit.
- Algemene tandheelkunde
- Tanden trekken
- Verstandskies trekken
- Wortelkanaalbehandeling
- Gebitsrenovatie
- Implantaat plaatsen
- Prothese plaatsen
Lees meer over populaire behandelingen
Ervaringen van patiënten
Bij Narcodent sta je als patiënt bij ons centraal, jou echt kunnen helpen is onze grootste beloning. Ontdek hieronder wat anderen over ons zeggen.
Wat een top service
Eindelijk weer blij met me gebit na een goed consult met behandeling onder narcose en goede na zorg
Lees meer >Fantastisch
Ik ben zelf heel erg bang voor de tandarts, veel nare ervaringen meegemaakt qua omgang. Toen ik h...
Lees meer >Mijn leven is compleet veranderd! Ben zo blij!
Zeer deskundig geholpen en ontzettend blij met resultaat!
Geruststellend personeel, veel aandacht voor patiƫnt
Er wordt duidelijk uitgelegd wat er op het moment gedaan wordt. Veel rust bij angst. Liefdevolle ...
Lees meer >Vriendelijk meedenkend geduld
Ik ben zelf heel erg angstig, ik kwam daar om een kunstgebit te plaatsen ik ben heel vriendelijk ...
Lees meer >Fantastisch
Ik was heel bang , als ik nu terug kijk , denk ik nou voor dit. Was fantastisch, ben goed opgekna...
Lees meer >Super relaxed
Zo goed en alles ging zo gemoedelijk alsof je er al jaren komt,en zeer professioneel, heb een geb...
Lees meer >Vriendelijk personeel, ik werd op mijn gemak gesteld.
Door de vriendelijkheid en goed uitleg, werd ik snel afgeleid van mijn stress en ging ontspannen ...
Lees meer >Heel erg tevreden.
Lang gewacht maar als ik dit eerder had geweten was ik al lang geweest.
Wat een lieve,aardige mensen.
Narcodent heeft mij zeer goed geholpen om een traumatische ervaring vanuit het verleden te verwer...
Lees meer >Super !!
Mijn vrouw en ik zijn samen onder behandeling geweest, bij mijn vrouw was dit alleen cosmetisch ...
Lees meer >Goed geholpen onder volledige narcose
Vanwege een heftige kokhalsreflex ben ik moeilijk te behandelen. Onder volledige narcose heb ik e...
Lees meer >Over het algemeen goed
De behandeling onder narcose ging heel snel. Voor ik het wist sliep ik al. Dat was aan de ene kan...
Lees meer >goed en vakkundig geholpen
door extreme angst voor de tandarts heb ik gekozen voor een behandeling onder narcose. Hierin ben...
Lees meer >Prima
Prima geholpen
Deskundig advies en prettige mensen
Zeer goede ervaring. Vriendelijke mensen.
Bevredigend
Met een gerust hart ervaren
Soepel gegaan, heel tevreden
Er moest een heleboel wortels verwiderd worden uit mijn mond, daarom koos ik voor een behandeling...
Lees meer >Zoveel angst
Eindelijk kon ik de stap nemen om contact op te nemen met narcodent, al vanaf de kinderjaren heb ...
Lees meer >Als goed ervaren!
Tot nu toe heel goed begeleid en behandeld !
Geruststellend
Uitleg wordt in alle rust en details gegeven en zorgt voor vertrouwen en rust. Alleen een uitleg ...
Lees meer >Super
Toppitop
echt een aan rader
ik ben echt heel tevreden over de behandeling ik heb er zo tegen op gezien en ben blij dat ik hie...
Lees meer >Een prima ervaring
Omdat alle tanden eruit moesten ging ik onder narcose. Waar normaal het prikken voor het infuus ...
Lees meer >

